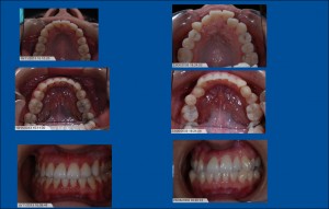
Brace case performed at The Park Denal Clinic

fixed brace